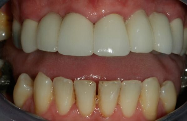
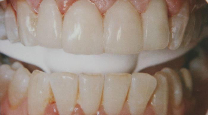
We realise that our Patients and Team are what makes us GREAT! Without them, all our décor, amenities, latest digital gizmos and gadgets account for nothing! With this in mind, we aim to provide a human family service where you can be comfortable being YOU.
We are an owner-managed business so can give you the personal touch you need.
Whether you are looking for an emergency or routine dental check-up for you or your family, or some advice on more advanced dental procedures, do not hesitate to get in touch.
Our New Patients join us as a result of word-of-mouth recommendations, so contact the friendly and welcoming team TODAY!
“Staly Dental always treated me in a very professional manner. Highly recommend this practice. Excellent advice was given for my oral health just had a baby, and kept bleeding from my gums, treatment went smoothly too. Wouldn't go anywhere else, great dentists excellent reception team. Thank you for helping me with my gums. Always professional, and very friendly whenever I go in, would recommend this place!!!”
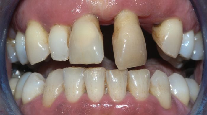
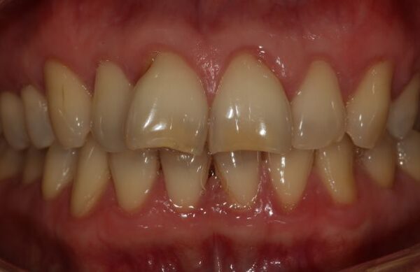
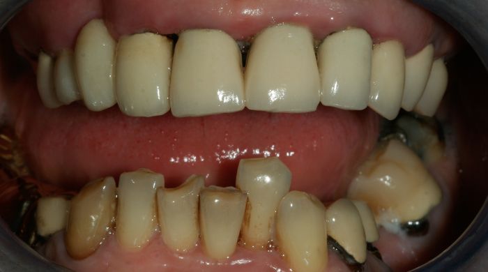
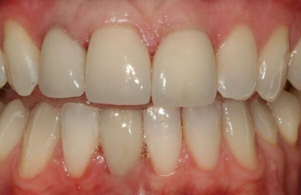
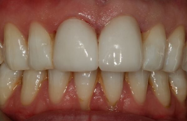
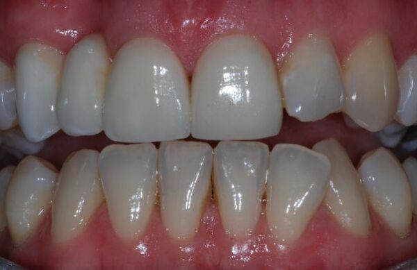
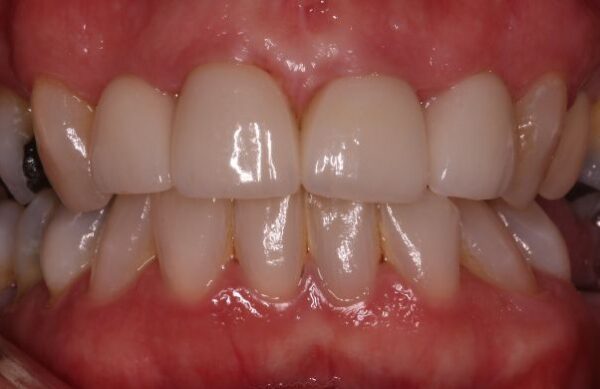
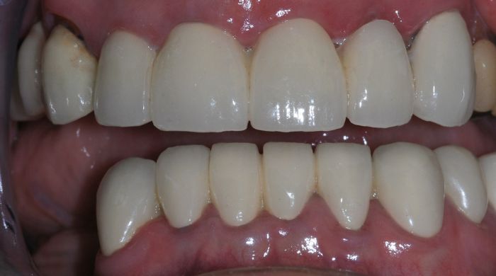
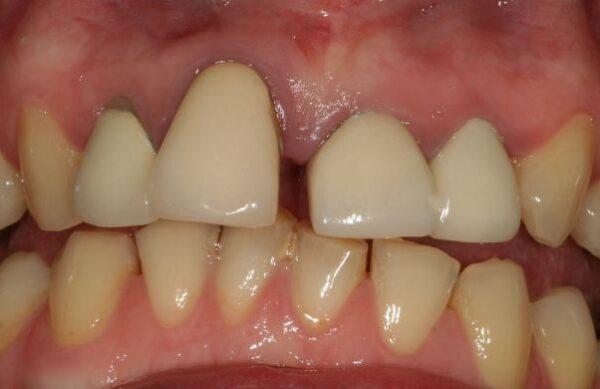
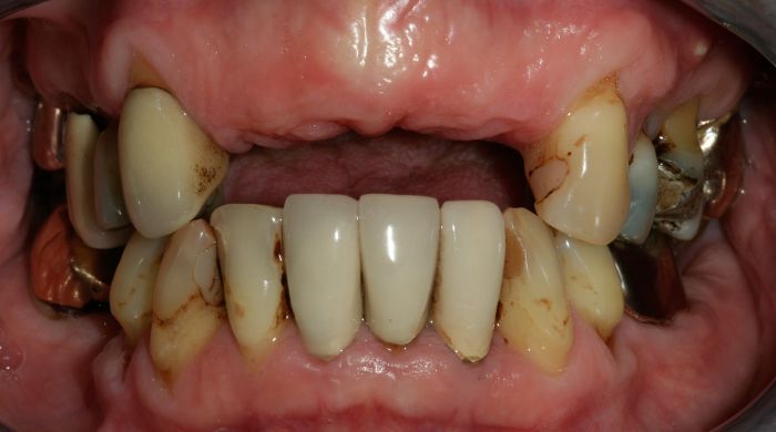
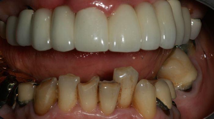
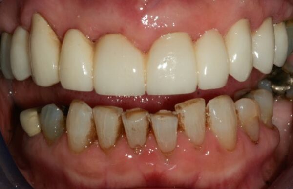
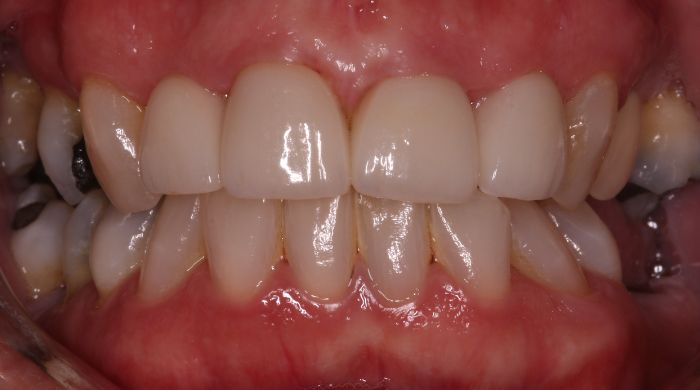
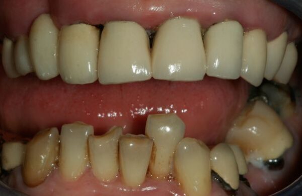
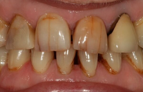
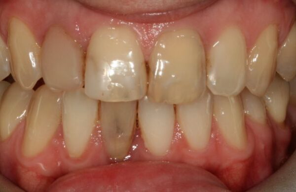
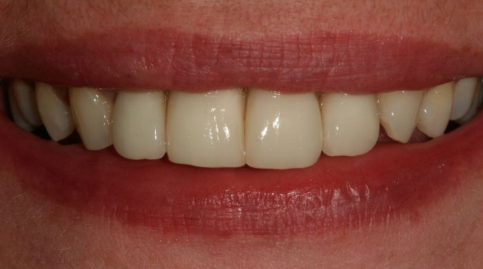
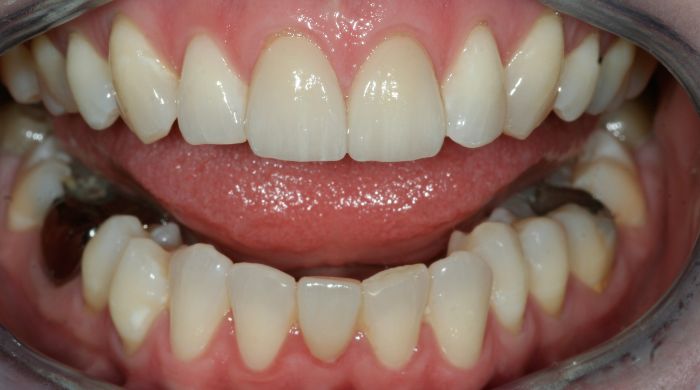
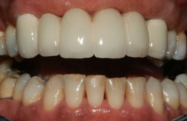
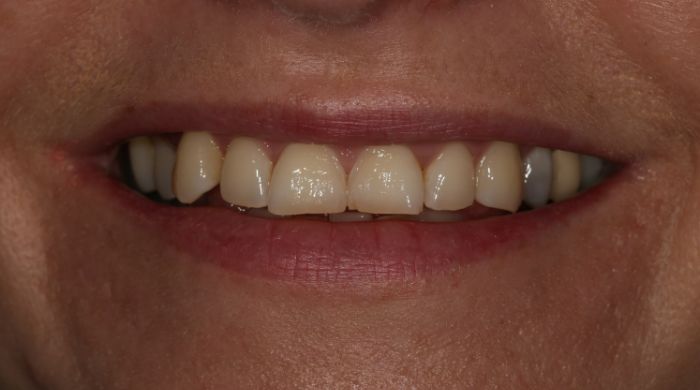
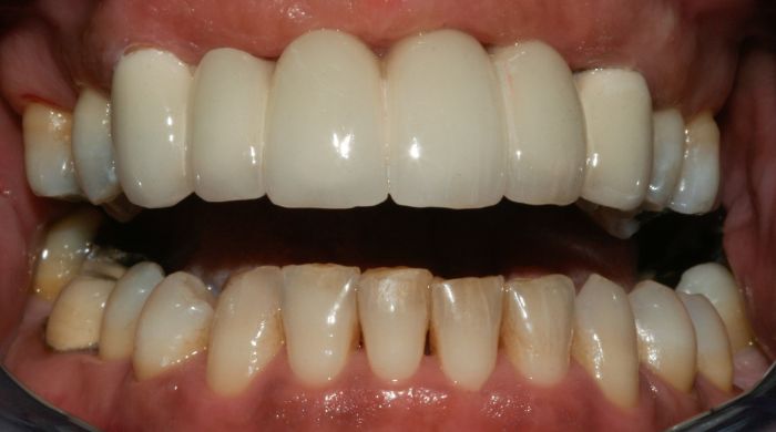
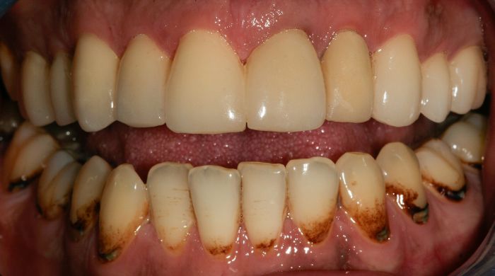
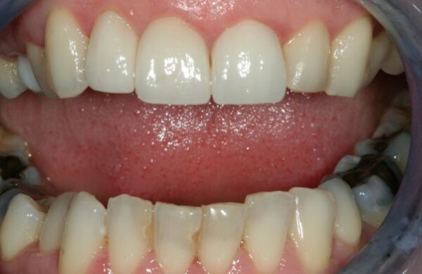
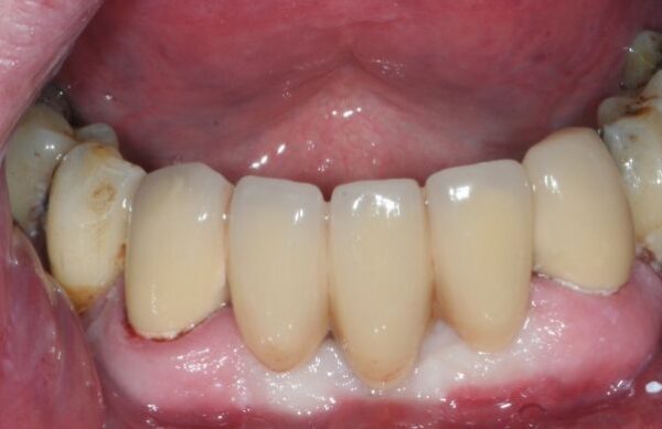
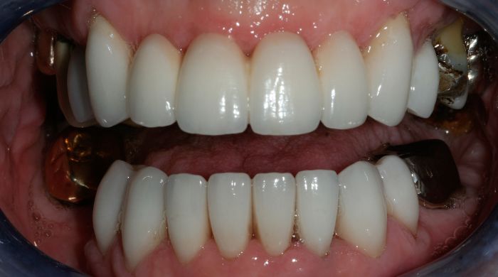
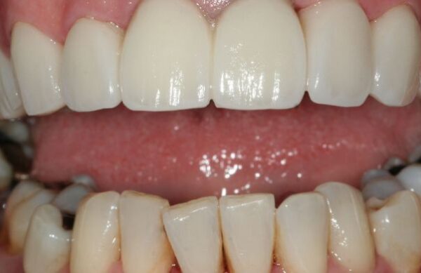
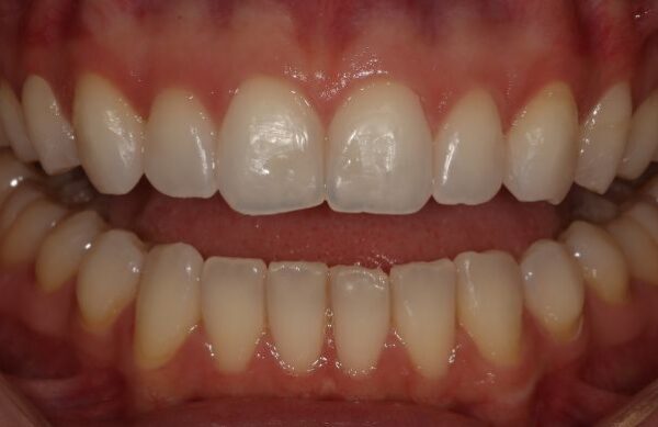
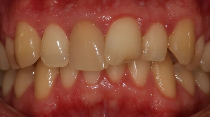
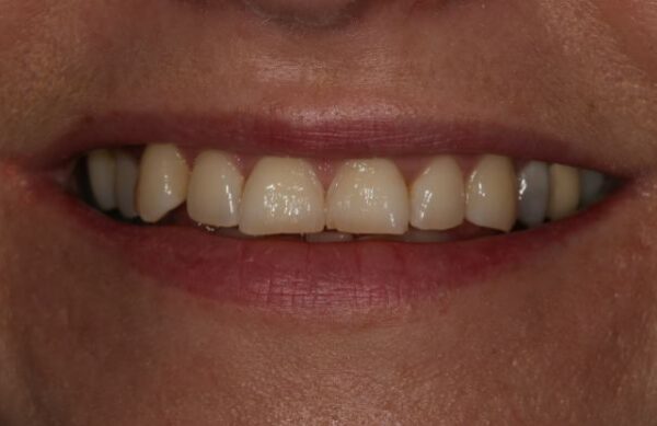
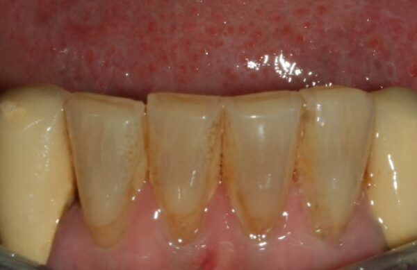
“Nearly there. After many appointments and lots of work, I am so happy I’ve got my smile back. I can’t recommend Sahv and his team enough 5 stars doesn’t mean enough. They have been astounding with my dental treatment. If I had a problem they had me in straight away with no fuss just pure professionalism and excellent treatment from all the staff. It’s taken a little time as I was told from the start my temporary Bridge is perfect and looks natural even though it is only a temporary bridge. I can’t wait for the final Bridge to be fitted next month. Friendliest most caring and professional Dentists and staff I have ever seen in my 60 years. Very highly recommended.”
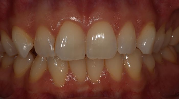
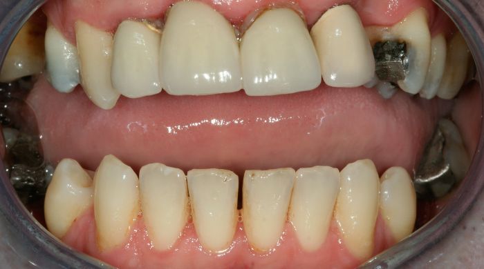
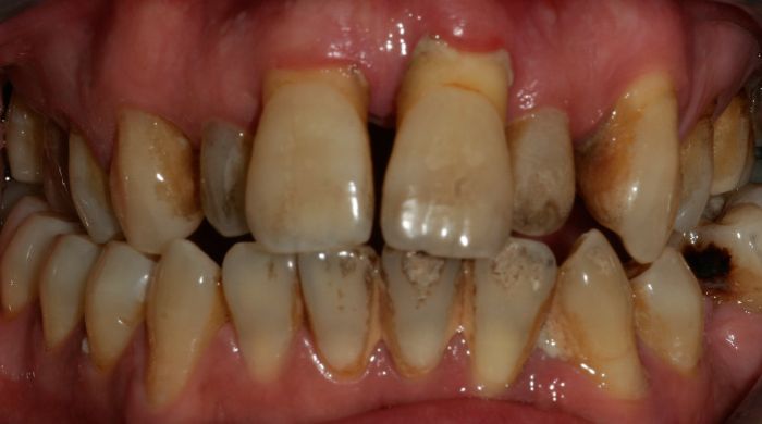
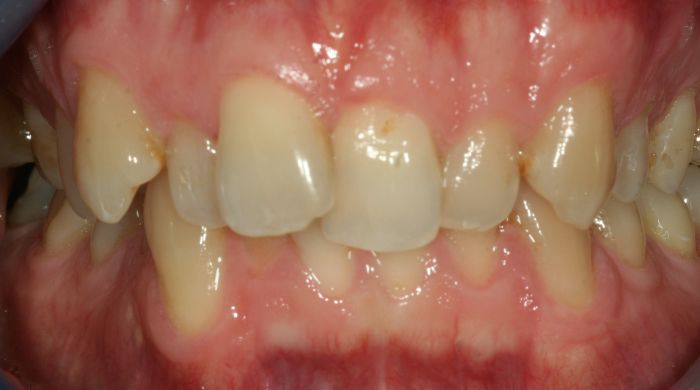
“Cannot recommend this dental surgery enough! My family and I are under Sav. He is thoroughly professional. Service and dental work is second to none. I have had teeth aesthetically done and was extremely happy with the work undertaken and the result. My daughter had 2 teeth extracted in preparation for braces and she was surprised at the speed and way this was conducted and was happy to have them both on the same day, despite a 2nd appointment being booked. Happy with the price plan and the service we are receiving.”
“Recently, I went to see a dentist after many years of not going. The staff was so lovely, and I made my appointment, and I then joined the dental plan which is affordable and easy to do, my dentist had me back for a deep clean, I felt so comfortable and at ease under his care, the care taken in my aftercare plan, I'm so happy I choose StalyDental, 5* treatment Thank you for making me feel very welcome”
“First-class care and professionalism from all the practice staff especially Deepak G. who is a very skilled and caring professional who puts the patient first making them feel at ease with any procedures that they are having. This practice and its staff set an excellent standard in how a Dentist's practice should be managed with a focus on their patients.”
“Excellent Receptionist, helpful, pleasant, and caring. Great Dentist and Dental Nurse. Very pleased with the service and results”
“I have been coming to Staly Dental for years now and I couldn’t wish for a better experience each time I attend. I'm always greeted by the friendliest staff and treated by very experienced dentists. Very flexible with appointments and offer days and times that are convenient to me. The practice is always very clean and very accessible. I have now gone private with the practice as I wanted to stay with the same dental team that I am used to and trust with my teeth. It's very hard to find a practice that makes you feel comfortable and Staly Dental does this, so thankyou!”
“Absolutely lovely staff and a very nice atmosphere. I have autism and the staff make me feel very relaxed and safe. Brilliant dentist, highly recommend”
“I've been with Staly Dental for many years and they are simply amazing. All of the staff are so pleasant especially Shirley and the support staff. Nothing is too much effort for them. I needed help recently and I spoke to Mrs Khan the Practice Manager, who spent hours helping me and then did the same again the next day until she found a resolution. Above and beyond! 5-star treatment”
“I would like to comment on how lovely the staff are at Staly Dental. I know some of the team have been with the practice as long as I have been a patient, some 15 years. The staff are warm and welcoming and the practice is always immaculate. I have every confidence in my dentist, he makes you feel at ease and always takes the time to explain everything, he's also very thorough in what he does. The dental practice I have found them to be friendly and very professional towards me and my family and would have no hesitation in recommending them.”
“Staly Dental always treated me in a very professional manner. Highly recommend this practice. Excellent advice was given for my oral health just had a baby, and kept bleeding from my gums, treatment went smoothly too. Wouldn't go anywhere else, great dentists excellent reception team. Thank you for helping me with my gums. Always professional, and very friendly whenever I go in, would recommend this place!!!”
“Nearly there. After many appointments and lots of work, I am so happy I’ve got my smile back. I can’t recommend Sahv and his team enough 5 stars doesn’t mean enough. They have been astounding with my dental treatment. If I had a problem they had me in straight away with no fuss just pure professionalism and excellent treatment from all the staff. It’s taken a little time as I was told from the start my temporary Bridge is perfect and looks natural even though it is only a temporary bridge. I can’t wait for the final Bridge to be fitted next month. Friendliest most caring and professional Dentists and staff I have ever seen in my 60 years. Very highly recommended.”
“Cannot recommend this dental surgery enough! My family and I are under Sav. He is thoroughly professional. Service and dental work is second to none. I have had teeth aesthetically done and was extremely happy with the work undertaken and the result. My daughter had 2 teeth extracted in preparation for braces and she was surprised at the speed and way this was conducted and was happy to have them both on the same day, despite a 2nd appointment being booked. Happy with the price plan and the service we are receiving.”
“Recently, I went to see a dentist after many years of not going. The staff was so lovely, and I made my appointment, and I then joined the dental plan which is affordable and easy to do, my dentist had me back for a deep clean, I felt so comfortable and at ease under his care, the care taken in my aftercare plan, I'm so happy I choose StalyDental, 5* treatment Thank you for making me feel very welcome”
By providing my email address, I consent to be contacted through email with marketing communications.
I understand that I can opt out, free of charge, at any time. For further information, please visit our Terms of Use & Privacy Policy.
Your form has been successfully submitted.